About Dr. Alfie Chan
Sports Trauma Dentistry
Cosmetic Dentistry
Beauty Treatments
Contact
Emergency help line: 07831 881 234
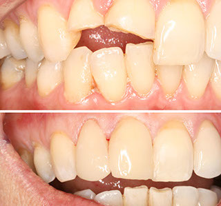
Sports and Emergency
Trauma Dentistry
Alfie Chan is involved with many local sports clubs and has an established reputation and special interest in
Sports / Dental Trauma Emergency management.
Facial Aesthetics
Aflie Chan can soften and lessen facial lines for a smoother and more youthful appearance with non-surgical cosmetic treatments.
To find out how click here
Email: enquiries@alfie-chan.co.uk | Telephone: 07831 881 234
Website build and hosted by Ostrich Media Ltd